Tiêm máu tự thân vá lỗ rò dịch não tủy
Chị Nguyệt, 45 tuổi, buồn nôn, đau đầu dữ dội khi đứng, bác sĩ phát hiện rò dịch não tủy hiếm gặp và tiêm máu tự thân ngoài màng cứng và lỗ rò.
Ngày 23/7, PGS.TS.BS Nguyễn Xuân Hiền, Giám đốc Trung tâm Chẩn đoán hình ảnh và Điện quang can thiệp, Bệnh viện Đa khoa Tâm Anh Hà Nội, cho biết thông tin trên, thêm rằng y văn thế giới mới có một vài báo cáo về rò dịch não tủy một lỗ, chưa ghi nhận rò dịch não tủy hai lỗ. Tỷ lệ bị rò dịch não tủy nói chung khoảng 5/100.000 người. Trong đó chủ yếu là rò thứ phát, tức sau các can thiệp (sau chọc dò dịch não tủy, gây tê ngoài màng cứng…), sau phẫu thuật hoặc chấn thương, còn rò tự phát và không rõ nguyên nhân như chị Nguyệt rất hiếm.
Chị Nguyệt chỉ có thể nằm vì ngồi hay đứng đều đau đầu. Người bệnh không có tiền sử chấn thương, phẫu thuật não, xoang hoặc can thiệp vào vùng tủy sống nên bác sĩ khó chẩn đoán. Trước đó, chị đi khám nhiều nơi chưa tìm ra nguyên nhân đau đầu.
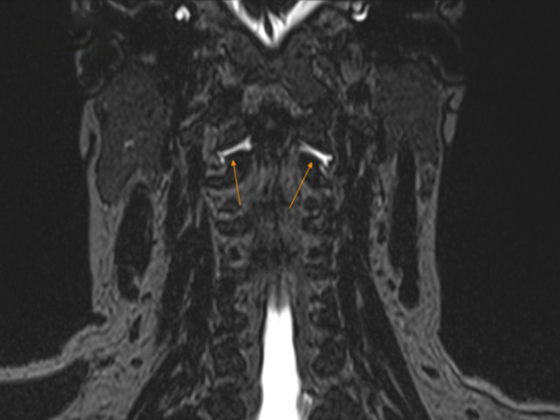
Kết quả chụp cắt lớp vi tính myelography tại bệnh viện Tâm Anh cho thấy chị bị rò dịch não tủy, hai điểm rò ở vị trí đốt sống cổ số một và số hai, sát xương chẩm. Dịch rò ra có hai loại là rò ra ngoài da hay rò dưới da. Rò ra ngoài da gặp ở rò thứ phát, có thể thấy được dịch não tủy bằng xét nghiệm; còn rò dưới da gặp trong rò tự phát, dịch thấm lại vào trong cơ thể nên rất khó phát hiện.
Hệ thống não bộ và tủy sống được bọc bởi màng cứng ở phía ngoài và màng mềm phía trong. Giữa hai màng là dịch não tủy, có công dụng như một lớp đệm giúp cân bằng áp suất, luân chuyển chất dinh dưỡng. Rò dịch não tủy là hiện tượng dịch não tủy thoát ra khỏi khoang màng cứng làm cho áp lực dịch não tủy trong hệ thần kinh bị giảm, nhất là ở tư thế đứng gây đau đầu, choáng váng, buồn nôn, ảnh hưởng đến chất lượng cuộc sống. Khi bệnh nhân đứng, dịch não tủy có xu hướng rò nhiều hơn, tăng mức độ chèn ép, dẫn đến đau đầu nhiều hơn.
Rò dịch não tủy nhiều nếu không điều trị sớm có thể gây tụt kẹt hạnh nhân tiểu não dẫn đến tử vong.

Chị Nguyệt được tiêm máu tự thân ngoài màng cứng để vá lỗ rò dịch não tủy. Phương pháp này sử dụng máu của chính bệnh nhân tiêm vào khoang ngoài màng cứng dưới sự dẫn đường của cắt lớp vi tính có phối hợp thuốc cản quang.
Chất fibrin trong máu làm máu đông lại, bịt kín điểm rò, dịch não tủy không còn thoát ra ngoài, từ đó cân bằng lại áp lực nội sọ.
“Bệnh nhân có hai lỗ rò dịch não tủy, tiêm một lần liều lượng lớn có thể gây tai biến”, phó giáo sư Hiền nói, thêm rằng cần chia hai lần tiêm, mỗi lần cách nhau ba ngày để đảm bảo an toàn.
Sau tiêm, triệu chứng đau đầu, choáng váng của chị Nguyệt giảm nhanh, xuất viện sau hai ngày, sức khỏe hồi phục hoàn toàn.
Rò dịch não tủy có thể xảy ra ở nữ nhiều hơn nam, độ tuổi mắc cao nhất là 30-40 tuổi. Triệu chứng của bệnh gồm đau đầu tăng khi đứng, càng đứng càng đau, đỡ khi nằm, kèm theo buồn nôn, chóng mặt, thường bị chẩn đoán nhầm sang viêm xoang, đau nửa đầu, rối loạn tiền đình.
Phó giáo sư Hiền khuyên người bệnh khi có các triệu chứng này cần đi khám ngay ở cơ sở y tế có chuyên khoa thần kinh và đầy đủ thiết bị chẩn đoán hình ảnh hiện đại. Chẩn đoán rò dịch não tủy bằng cách chụp cộng hưởng từ, kết hợp chụp cắt lớp vi tính có bơm thuốc cản quang để xác định vị trí rò và loại rò, từ đó can thiệp phù hợp.
Rò dịch não tủy phát hiện càng sớm, điều trị càng đơn giản, hiệu quả cao. Với những vết rò dịch não tủy nhỏ, phương pháp điều tốt nhất là tiêm máu tự thân. Phó giáo sư Hiền đánh giá phương pháp này xâm lấn tối thiểu nên an toàn, độ chính xác cao, ít rủi ro, người bệnh phục hồi nhanh. Trường hợp vết rách lớn bắt buộc phải phẫu thuật khâu vết rò.
Comments are closed.